8월 16일에 계곡에서 야외용 의자 놓고 발 담그고 1시간 정도 잠깐 잠들었나. 일어나는데 갑자기 푹 주저 앉으면서 무너졌다 그래야 되나 그런 거죠. 점점 고통이 심해지더라고요. 너무 힘들어가지고 서 있지를 못하는 거예요. 발이 이러고 다니니까.
왼쪽 무릎에서 정강이 쪽으로 발목 전까지 거기가 그렇게 아주 엄청나게 점점 고통이 심해지더라고요. 오죽하면 집사람한테 무릎 아래를 잘라 버리자고 그럴 정도였어요. 너무 힘드니까 이런 경우는 완전 처음 겪어보니까 완전히 사람 미치게 만들더라고요. 허리를 굽혀도 아프고 펴도 아프고 다 아픈 거 아니에요. 점점 완전히 잘 때도 굼벵이 모양으로 잠도 많이 못 잤어요.
넘어진 날이 토요일 저녁이니까 OO대병원 응급실에 갔어요. 그런데 별로 해주는 게 없더라고요. X-ray만 찍고 약만 주고 그냥 가라고 그러더라고요. 점점 아파오는 거예요. 이게 고통이 심해지는 거예요. 그래서 밤새도록 끙끙거리다가 검색해보니까 OO에 정형외과가 일요일에 하는 데가 있더라고요. 문 열자마자 가서 진통제 신경주사를 맞은 것 같아요. 걷지도 못한 거죠. 허리에 주사를 세 방을 놓는데 엎어놓고 촬영하면서 신경주사를 놓더라고요. 주사 맞아도 다리는 계속 아파 오는 거예요.
그래서 월요일에 다른 큰 병원에 가서 MRI를 찍었어요. MRI 찍은 걸 보더니 수술하자고 그러더라고요. 진단명을 척추관협착증하고 디스크라고 그러더라고요. 그러면서 수핵이 흘러나와서 신경을 눌러서 빨리 수술을 해야 된다고 그러더라고요. 오전에 입원했는데 오후에 수술하자고 그러더라고요. 겁이 나는 거예요.
허리 아픈 게 전조 증상이 있었어요. 올 초에 집에서 양말 신다가 삐끗하더라고요. 허리가 뜨끔하더라고요. 그래서 한의원도 가고 정형외과 가서 X-ray도 찍어보고 그랬던 거죠. 정형외과에서 X-ray 찍어보더니 퇴행성 관절염만 얘기하더라고요. 그래서 무릎하고 허리에도 같이 주사 세 번 맞았어요.
수술하자고 정형외과에 입원했었어요. 그 다음 날 오전에 수술하자고 그러더라고요. 저는 하루하루가 너무 고통스러우니까 그냥 수술하든지, 그냥 다리를 잘라버리든지 판단력이 안 서더라고요. 근데 집사람이 밤새도록 검색을 했나 봐요. 여기 모커리를 알아서 오전에 수술하러 들어갔는데 집사람이 잠깐 멈추라고 전화가 온 거예요. 수술하지 말고 있으라고. 저는 그냥 하루라도 빨리 고통에서 벗어나려고 수술하려고 그랬죠. 근데 집사람이 한 번만 자기 믿어달라고 모커리에서 입원치료 하면서 한 달 동안 있어보라고 그러더라고요. 해보고 아니면 당신 말대로 하라고 그래서 알았다고 하고 의사한테 나 수술 못하겠다고 다른 병원 알아봐야겠다고 그래서 여기 모커리 온 거죠.
여기 모커리 와서 원장님이 MI 찍은 거 보고 말씀하시더라고요. 퇴행성 디스크 파열이라고. 이거 MRI 사진 보셨으니까 여기서 치료 가능하냐, 집사람하고 나하고 물어봐서 솔직히 반신반의 한 거죠. 원장님이 보시더만 ‘이건 뭐 난치병도 아니고 믿고 치료할 수 있습니다’ 그러더라고요. 그래서 알았다고 그러면 더 이상 얘기 안 한다고 끝. 그리고 내가 원장님만 딱 믿고 따라가겠다고 오케이 그러고 바로 입원했어요.
먼저 이분 MRI를 보면서 설명해 드린 후 어떻게 신경주사가 전혀 안 듣고 반드시 수술해야 한다고 하는 극심한 통증의 디스크 파열이 수술 없이도 치료가 잘 될 수 있는지, 또 치료는 구체적으로 어떻게 하는지 설명 드리겠습니다.
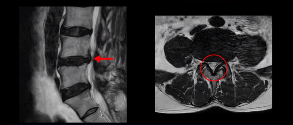
이분 MRI를 보면 허리 세 마디 정도의 퇴행성 디스크가 있고

4번 5번 마디에는 중심성 협착이 있습니다.

후관절과 황색인대가 두꺼워져 있어서 척추관이 좁아져 있습니다.
하지만 이분의 갑작스러운 통증을 일으키는 원인은 4번 5번에 발생한 디스크 파열입니다.

원인이 협착이었는지 디스크 파열이었는지 이걸 잘 구별하기 위해서는 환자분의 증상을 자세히 듣고 MRI와 비교해 보셔야 합니다. 증상을 자세히 듣지 않고 MRI만 쳐다보고 진료하면 디스크인지 협착증인지 오진할 수 있습니다.
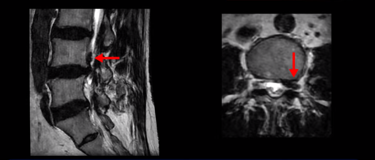
이분은 왼쪽 무릎 아래로 본인 표현으로는 다리를 잘라 버리고 싶다고 할 정도의 심한 통증이 있는데 보통 이런 표현은 디스크 파열이 발생했을 때 많이 사용하는 표현입니다. 이분 4번 5번 디스크를 자세히 보면 왼쪽으로 파열되어 밀려 올라간 디스크 수핵을 볼 수 있습니다.

옆에서도 보이지만 단면에서도 왼쪽으로 심하게 밀려나온 수핵이 잘 보입니다.

그럼 이런 디스크 파열은 왜 수술 없이도 치료가 잘 된다고 하는 걸까요? 신경을 누르고 있는 심한 디스크 파열이 어떻게 수술 없이도 좋아질 수 있는지 지금부터 설명해 드립니다. 이렇게 심하게 터져서 흘러 내려가거나 흘러 올라간 디스크 수핵은 우리 몸에서 이물질로 인식되기 때문에 우리 몸의 면역 세포들에 의해 자연적으로 녹아서 흡수될 가능성이 매우 높습니다. 또 찢어진 디스크는 자극하지 않고 누워서 쉬면서 안정을 취하면서 가만히 놔두면 저절로 붙습니다. 신경에 생긴 염증은 극심한 방사통을 일으키는데, 이 급성 염증도 평균 4주 정도 시간이 지나면 가라앉게 되어있습니다. 그래서 저희 병원의 심한 허리디스크 파열의 치료 기간도 평균 4주인 것입니다. 그렇다면 4주라는 시간만 지나면 저절로 누구나 다 염증이 가라앉고 찢어진 디스크가 다시 붙고 밀려 나온 수핵이 흡수되는 걸까요? 전혀 그렇지 않습니다. 심한 디스크 파열 환자의 방사통이 평균 4주 만에 수술 없이 좋아지는 데는 2가지의 조건이 반드시 필요합니다.
첫째는 일상생활을 완전히 중단하고 누워서 쉬는 것이고 두 번째는 심한 통증으로 뭉치고 긴장되고 뒤틀리는 근육들을 부드럽게 하루 4번 이상 풀어주고 쉬고 풀어주고 쉬고 풀어주고 쉬고를 반복하는 겁니다. 아니, 신경이 물리적으로 눌리고 염증이 있어서 아픈 건데 근육을 풀어주는 거랑 무슨 관계가 있냐구요? 이해가 안 되시죠. 그래서 여기서 자세히 설명해 드립니다.
누워서 쉬지 않고 허리를 계속 사용하는 일상생활을 계속하면 디스크 상처가 계속 미세한 손상을 받기 때문에 잘 아물지 않고 신경의 염증을 계속 자극하여 급성 염증이 만성적인 염증으로 진행하게 만듭니다. 이 과정에서 심한 통증 때문에 허리, 골반, 다리 근육이 뭉치고 긴장되며 뒤틀리게 됩니다. 뭉치고 긴장되고 뒤틀린 근육은 몸을 완전히 삐뚤어지게 만들고 척추 뼈들을 계속 잡아당겨 신경 눌림을 계속 심하게 만들고 순환도 방해되어 밀려 나온 디스크 수핵의 흡수도 방해가 되며 염증이 만성화되어 가라앉지 않으면 방사통이 좋아질 수가 없습니다. 그러니까 방사통이 아주 오랫동안 6개월, 1년, 1년 반 이상 계속되는 겁니다.
그래서 가만히 집에 누워있는 것만으로는 방사통을 4주 안에 없애기 위한 최적화된 조건을 충족할 수 없습니다. 특히 원래 근육이 적고 상태가 안 좋은 사람일수록 또 디스크 파열 전에 허리 통증을 오래 겪은 사람일수록 근육의 뭉침과 긴장도 및 뒤틀린 정도가 심하기 때문에 일상생활을 중단하고 누워있어도 염증이 가라앉고 방사통이 사라지는 데 4주보다 훨씬 더 오랜 시간이 걸리는 것이고, 실제로 몇 달을 누워 있어도 근육의 문제가 제대로 해결되지 않은 사람들은 다시 일어서서 활동을 시작하면 방사통 문제를 여전히 심하게 겪을 수 있습니다. 그래서 최적화된 2가지 조건이란 가만히 누워만 있는 게 아니고 하루에도 여러 번 반복적으로 뭉치고 긴장되고 뒤틀리는 근육을 부드럽게 풀어주는 치료를 병행하는 겁니다.
그렇다면 허리, 골반, 다리의 뭉치고 뒤틀린 근육을 어떻게 치료할까요? 저희 모커리 ABCDE 디스크 근육재활치료법은 한방, 양방을 통합하여 근육에 관련된 할 수 있는 거의 모든 치료를 다 합니다. 침, 약침, 봉침, 이완추나, 근육의 피로와 긴장을 풀어주는 한약, 도수치료, 물리치료, 가벼운 운동치료까지 이런 여러 가지 치료 방법을 총동원하여 환자를 입원시킨 상태에서 하루에도 4번 이상 허리, 골반, 엉덩이, 다리의 뭉친 근육을 풀어주고 쉬고 풀어주고 쉬고 풀어주고 쉬고를 반복하는 겁니다. 이런 집중적이고 반복적이며 체계적인 근육 치료를 환자 상태에 따라 2주에서 4주정도 치료합니다. 이런 집중적이고 반복적이며 체계적인 디스크 근육치료를 우리는 모커리 ABCDE 디스크 근육재활치료법이라고 부릅니다.
최적화된 조건 하에 4주면 방사통이 가라앉는다는 것이 믿기지 않으시는 분들은 저희가 매주 올리고 있는 수많은 디스크, 협착증 환자들의 치료 후기를 보시길 바랍니다. 디스크라는 질환은 일반적으로는 노화로 인한 협착증보다 완치의 가능성이 훨씬 더 높습니다. 왜냐하면 디스크는 우리 몸의 상처이고, 상처 즉 손상은 우리가 지속적으로 상처를 자극하고 재손상만 시키지 않는다면 저절로 좋아지는 것이며, 예를 들어 손가락이 베였을 때 그게 안 붙을까 봐 걱정하는 사람은 단 한 명도 없습니다. 손가락이 자연적으로 아물고 좋아지는 과정이 염증 반응이며, 이 급성 염증이 손가락이 아물면서 가라앉으면 통증도 함께 사라지는 겁니다.
이런 4주의 근육신경재활치료 결과는 실제로 해보지 않은 의료진은 알 수가 없고, 당연히 겪어보지 않은 환자 또한 알 수가 없습니다. 그런데 디스크 방사통이 가라앉는 기간에 대해 이런 치료를 받아본 적도 없는, 심지어는 누워서 제대로 쉬어본 적도 없는 일반인들이 오로지 본인 자신만이 경험한 아주 편협한 지식만으로 방사통이 오래가는 걸 당연하듯이 얘기하고 오로지 신경주사 맞으며 신전 운동과 걷기 운동만 하면서 방사통이 사라질 때까지 버티는 것이 보존 치료의 정석인 양 얘기하는 걸 보면 너무나 답답하고 안타깝습니다. 서 있을 수도, 걸을 수도 없을 정도로 아픈 통증이 3주 만에 완전히 다 사라졌을까요? 이분의 치료 후 결과가 궁금하시다면 아래 영상을 꼭 보시길 바랍니다.
모커리 허리디스크 ABCDE 한·양방 협진 재활치료법은 수술 없이 허리디스크를 치료하는 모커리 고유의 비수술 치료방법입니다. 디스크 통증은 물론 수술을 권유 받을 정도의 마비와 힘 빠짐을 동반한 디스크 파열 등의 중증 허리디스크를 수술 없이 ABCDE 허리디스크 비수술 치료법으로 치료하고 있습니다. 모커리는 심하게 파열된 허리디스크 뿐 아니라 수술 후 재발한 허리디스크, 척추유합술 후 재발한 허리디스크 등의 어려운 척추 질환을 비수술로 치료하고 있으며, 이러한 ABCDE 치료법의 효과를 과학적, 객관적으로 검증하여 해외 유명학회 및 학술지 등에 지속적으로 발표하고 있습니다.

보다 많은 환자분들과 건강정보를 공유하고자 개방형 게시판으로 건강상담을 운영하고 있습니다. 목과 허리 통증•디스크•협착증•교통사고•어깨•무릎 등 궁금하신 질문을 남겨주시면 전문의가 최대한 자세하게 답변 드립니다.
| 제목 | |||||||||
|---|---|---|---|---|---|---|---|---|---|
|
|||||||||
|
|||||||||
|
|||||||||
|
|||||||||