“저는 아픈지 되게 오래됐어요. 처음에 도수랑 이런 치료를 받기 시작한 건 6년 정도 됐고 일을 무리하거나 이러면 증상이 나타나요. 그런데 7월에 다리 한쪽이 감각이 없는 거예요. 그래서 너무 놀라서 수술을 잘한다는 큰 병원에 가서 MRI도 찍고 했더니 핀을 2쌍을 박고 수술을 하는데 수술이 짧게는 몇 시간 걸린다는 그런 얘기를 처음에 들어서 너무 당황했어요. 그래도 병원 세 군데는 가봐야 된다 그래서 대학병원 두 군데 예약 걸어 놨어요. 근데 저희 남편은 ‘허리는 손을 대는 게 아니다’라는 이런 생각이 있어서 검색을 하더니 여기 모커리에 가봐야겠다 하더라고요”
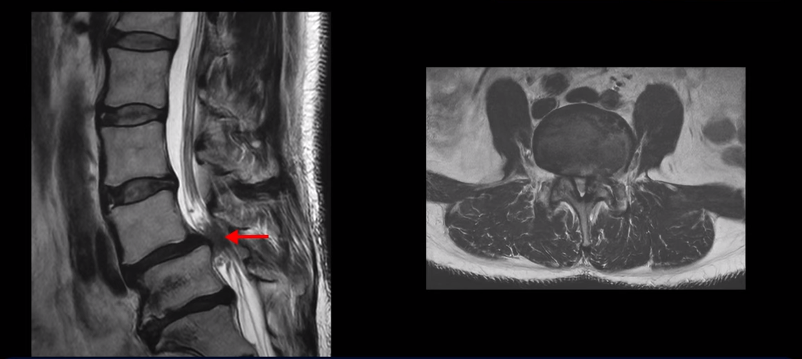
제가 먼저 이 환자분 MRI를 보면서 설명 드린 후 이분 말씀 더 들어보겠습니다. 보시다시피 두 마디가 심하게 퇴행되어 있고
4번 5번에는 척추뼈가 밀려나간 전방전위증이 있습니다.
4번 5번에 심한 중심성 협착도 있습니다.
전방전위증이 있는 분들은 뼈가 밀려 나가 있으므로 다른 사람들에 비해 협착이 더 빨리 더 쉽게 올 수 있습니다. 이분도 나이가 48세라는 젊은 나이인걸 고려하면 협착이 다른 분들에 비해 매우 빠르게 왔다고 볼 수 있습니다.
양쪽 신경 가지가 빠져 나가는 추간공도 왼쪽 오른쪽 모두 좁아져 있습니다.
5번 1번에는 가운데로는 디스크가 밀려나와 있습니다.
이건 아주 오래된 퇴행성디스크로 보입니다. 그래서 이 환자분은 양쪽 엉덩이와 다리가 모두 저리고 아픈 게 양쪽 추간공 문제 때문일 수도 있고 중심성 협착 때문일 수도 있습니다. 퇴행성디스크 때문에 아플 가능성은 상대적으로 적어보입니다.
이 환자분처럼 전방전위증이 있는 분들은 오랫동안 허리통증을 겪는 분들이 많습니다. 다리증상없이 이런 허리통증만 있을 때 치료하면 훨씬 치료도 쉽고 빠른데 허리통증을 오래 방치하면 결국 허리의 퇴행성 변화가 심해져서 협착이 생기게 되고 그럼 결국 다리 증상이 생기게 됩니다.
이 분도 수년간 신경주사와 도수치료를 받으며 버티다가 올해 2월에 아버님 장례식 때문에 무리하면서 다리 증상이 심해집니다. 병원에서는 뼈가 밀려 나가 있으니 나사를 박는 수술을 해야 한다고 하는데 저희 모커리에서는 어떻게 이런 분들이 수술 없이 치료가 가능하다고 하는 걸까요?
저희는 수많은 영상 설명과 치료후기를 통해서 협착증과 전방전위증의 악화는 근육과 매우 밀접한 관계가 있다고 설명 드리고 있는데요. 즉 신경 증상의 악화와 근육의 문제는 함께 가는 겁니다. 왜 그럴까요? 척추의 퇴행성 변화 즉 협착과 전방전위는 오랜 시간을 두고 천천히 진행됩니다. 이 환자분의 전방전위와 협착 또한 오래 전에 진행 되었을 가능성이 높습니다. 그런 상태에서도 근육의 상태가 괜찮으면 척추를 잘 지탱해주니까 그런대로 버틸만한 겁니다. 그러나 회사일 때문에 무리하고 여러 가지 이유로 무리한 일이나 운동 등을 하게 되면 근육의 상태가 급속히 안 좋아지면서 허리를 잘 지지하지 못하니까 신경이 심하게 눌리게 되고 신경학적 방사통 등의 증상을 급격하게 더 심하게 느끼게 되는 겁니다. 신경 구멍이 갑자기 좁아져서 악화되는 게 아닌 겁니다.
그래서 근육재활치료와 운동을 통해 근육의 문제를 해결하고 근육의 기능과 상태를 좋게 해줘서 허리를 잘 지지해주게 만들면 신경이 훨씬 덜 눌리거나 안 눌리게 되니까 전방전위와 협착 증상이 좋아지게 되는 겁니다. 그럼 이런 근육의 상태를 좋게 만드는 근육치료와 재활운동은 어떻게 하는 걸까요? 이 환자분 말씀 더 듣고 설명해드리겠습니다.
다리 저림이 원래는 오른쪽이 아팠는데 왼쪽까지 번지고 다리가 틀어지는 정도로 너무 심했었고 오른쪽은 정강이 쪽 뼈 있는 부분이 너무 아픈 거예요. 너무 아파가지고 참을 수가 없는 거예요. 그게 우선 제일 힘들었고 직장에서 제 층수가 3층이었거든요. 근데 계속 계단을 오르락내리락 해야 되는 거예요. 근데 아파서 업무가 안 되는 거예요. 이제 원장님이랑 얘기하고 바로 직장을 그만두고 입원을 결정하게 됐죠.
저는 밤에 뒤척이는 게 너무 힘들었어요. 밤에 잠을 한 세 번 깼어요. 2시간에 한 번씩 자다 깨다 자다 깨다를 계속 자다가 기지개를 켜면 바로 쥐가 오니까 움직이질 못하겠어요. 근데 누워 있어도 마음대로 뒤척이지를 못하니까 장시간 누워 있기는 힘들고 계속 자세를 변형해야 하더라고요.
앉는 게 너무 힘든 거예요. 의자에 앉으면 허벅지가 닿는 부분에 계속 통증이 오는 거예요. 아침에는 정말 기어서 기둥 잡고 일어나서 여기 잡고 일어났다가 조금 활동하면 좀 풀리는 거예요. 그런데 이게 풀리는 시간이 점점 길어지더라고요. 아픈지 되게 오래 됐어요. 처음에 도수랑 이런 치료를 받기 시작한 건 6년 정도 됐고 6년 전에 치료 받고, 3년 전에 치료 또 받고 1년 전에 아버님이 2월 달에 돌아가시면서 그때부터는 지속적으로 통증이 오더라고요.
신경주사도 많이 맞았어요. 근데 알고 보니 그게 다 진통제처럼 통증을 잠재운 거라고 들었어요. 그리고 최근에 3월, 4월 두 달 내내 받았던 것도 신경차단술 같아요. 그런데 주사 맞고 나면 주사 맞은 부위가 더 얼얼해서 바로 일어나지 못할 정도로 주사를 일주일에 두 번 정도 지속적으로 계속 맞았었거든요. 주사를 자주 맞는데도 깨끗이 뭔가가 낫지 않는다는 느낌이 드는 거예요. 개운하지 않고 그전 같지 않다는 느낌이 자꾸 들고 주사를 맞아도 마찬가지인 거예요. 그래서 병원을 여기저기 옮기게 되더라고요. 이 병원에서는 물리치료를 하고 저 병원 가서는 견인 치료를 하는 거예요. 견인 치료를 하고 나면 거기서 일어나지 못하고 이렇게 침대를 붙잡고 진짜 10분, 15분을 버티다가 걸어서 나오고 이렇게 했었거든요.
다른 분들에 비해서 협착증이 좀 일찍 온 거니 중간에 수술을 또 한 번 하게 될 거다. 그러니 지금 상태를 잘 유지하는 게 좋다라는 병원도 있었고 그 다음에 가장 최근에 갔던 병원은 제가 감각이 없었다고 하니 이거는 너무 수술할 시기가 늦어진 거라 바로 수술하는 얘기를 들으니 핀 2쌍으로 고정을 시키고 양쪽을 잡고 깎아내는 걸 해야 된다고 하더라고요. 그러니까 너무 놀라서 그때부터 직장도 다 그만둬야겠다는 생각을 하고 확신을 딱 갖고 모든 걸 정리하고 모커리에 들어오게 됐죠.
인터넷을 다 찾아봤어요. 그랬더니 열에 여덟은 재수술을 했다라는 얘기가 대부분이었어요. 내 나이에 이렇게 수술을 했어도 다시 재수술하고 이렇게까지 해야 되나라는 생각도 너무 컸고 우선 가족들은 무조건 허리 수술은 안 된다. 어떻게든 다른 방법으로 선회할 수 있으면 했다가 정말 안 되면 그건 그때 수술을 해야 되는 게 맞다라고 하더라고요. 그래서 다른 걸 찾다 보니 여기 모커리가 그런 치료후기나 이런 게 되게 좋더라고요.
병원에서 간호사로 오래 일했던 지인인데 그 분은 이러는 거예요. 물론 수술도 위험하고 믿을 게 못 되긴 하지만 한방병원이라는 걸 선택한다고 하니 자기는 수술을 해야 되지 않나 이런 얘기를 하는 거예요. 그래서 내가 어쨌든 내 선택이고 나는 여기 모커리를 믿고 선택했고 수술을 안 하려고 오는 건데 그런 얘기하지 말라고 딱 잘랐어요. 가족들 중에 말리는 사람은 없었고 저랑 저희 가족이랑 너무 확고하게 여기 모커리에서 치료하고 더 이상 나빠지지 않게 관리하는 게 중요하니 ‘여기서 시키는 대로 할거다’ 그랬더니 아무 얘기 안 하던데요. 주변에서
모커리 치료후기를 보니까 저보다 MRI사진이 더 안 좋은 경우인데도 괜찮아졌다는 얘기를 하시는 거예요. 그래서 우리는 모커리 치료가 마지막이다라는 그런 마음으로 왔고 원장님께서도 치료 걱정은 안 하셔도 된다. 저는 모커리가 마지막이라는 생각을 하고 왔고 여기서 진짜 원장님이 뭐 하세요 하면 정말 열심히 했고 그 다음에 치료도 하라는 대로 다 받았어요.
이분 말씀 잘 들으셨습니까? 다시 한번 강조해서 말씀 드리지만 근육과 신경은 함께 가는 겁니다. 그래서 저희 치료의 이름이 근육신경재활치료입니다. 신경이 눌리고 자극 받아 안 좋아지면 근육이 망가지고, 근육이 망가지고 약해지면 신경 눌림 증상이 심해집니다. 마찬가지로 근육이 좋아지면 신경 눌림이 줄어들고 좋아지는 겁니다. 그런데 환자분들이 오로지 주사만 맞으면서 신경치료만 하고 있습니다. 근육이 심하게 망가져서 위축되고 뭉치고 굳고 틀어지면 신경치료의 효과가 떨어지고 그래서 신경주사를 맞아도 효과가 없게 되고 근육이 많이 감소되고 약해져서 근육에 심한 문제가 생긴 사람들은 수술해도 결과가 더 좋지 않다고 수많은 의학논문에서도 얘기하고 있습니다. 그래서 저희가 근육신경재활치료를 하고 있는 겁니다. 그리고 그 치료 효과를 논문이나 이런 치료후기 영상들로 보여드리고 있는 거구요. 그럼 이런 환자분의 근육신경재활치료는 어떻게 하는 걸까요?
전방전위증과 협착증 환자의 뭉치고 굳은 허리와 엉덩이, 다리 근육을 풀어주고 기능에 문제가 생긴 근육을 치료하여 근육과 신경 기능을 살려주는 방법은 침, 약침, 봉침, 추나요법 등의 한방치료와 도수치료, 물리치료, 재활운동치료와 같은 양방치료 등 한방과 양방의 근육치료에 관련된 모든 방법을 총동원하여 진행합니다.
환자의 허리, 엉덩이, 다리 근육을 하나하나 다 만져보면서 어디가 얼마나 굳어있고 뭉쳐있는지, 또 어느 근육의 기능에 문제가 있는지 확인한 뒤 이 굳고 뭉친 근육들을 앞서 설명 드린 여러 가지 치료방법들을 통해 하루에도 4~5차례 근육을 풀어주고 쉬고 풀어주고 쉬고를 1~2주간 반복합니다. 이런 근육재활치료를 통해서 뭉치고 아픈 근육이 풀리면 저강도의 재활운동부터 시작해서 약해진 허리와 엉덩이 및 다리의 근력을 회복시키고 기능을 회복시켜야 합니다. 이렇게 근육의 기능이 회복되면 허리를 잘 지지해 주니까 신경학적 방사통 등의 증상이 좋아지게 됩니다.
이 환자분은 극심한 양쪽 다리 방사통과 밤에 잘 때 다리에 쥐가 나는 증상으로 잠도 제대로 못 잘 정도였는데요. 또 방사통이 심해 앉기도 걷기도 힘들었는데요. 4주 정도의 입원치료를 통해 다리 방사통이 좋아지고 다리에 쥐가 나는 증상이 호전될 수 있을까요? 또 치료 후에는 걷고 앉는 데 문제가 없어질까요? 큰 병원에서 나사 박는 유합술을 권유할 정도로 심했던 환자가 근육신경재활치료로 어디까지 얼마나 좋아질 수 있을까요? 궁금하지 않으십니까? 그럼 이분의 치료 결과는 어떻게 되었을까요? 이분의 치료 후 결과가 궁금하시다면 아래 영상을 꼭 보시길 바랍니다.
모커리 척추관협착증 ABCDE 한·양방 협진 재활치료법은 수술 없이 협착증을 치료하는 모커리 고유의 비수술 치료방법입니다. 한쪽 다리의 통증만 있는 초기 협착증부터 다리에 힘이 빠지고 몇 걸음 걷지 못하는 말기 협착증까지 ABCDE 척추관협착증 비수술 치료법으로 치료하고 있습니다. 모커리는 수준 높은 임상연구를 통하여 말기 협착증 환자가 ABCDE 재활치료로 통증 없이 걷는 거리가 11배 증가했다는 것을 과학적으로 객관적으로 증명하여 국제학술지에 논문을 발표했습니다.
