발바닥이 차가워요. 발바닥에 쥐가 나고 시려서 1년 12달 내내 양말 신고 잤어요. 발 시린지 오래 됐어요. 한 10년 됐나. 10년 동안 잘 때도 겨울에는 버선 신고 여름에는 양말 신고.
다리가 알이 배기고 발바닥이 시리고 발이 부었다 해야 할까 그러니까 걸음을 못 걷죠. 그리고 걷다 보면 허리도 아프고 골반도 아파서 많이 못 걸어요. 못 걸어서 앉아서 쉬었다가 가요. 다리가 항상 무겁고 난 아픈 건 참겠는데 걷지를 못해서 죽겠다, 일단 사람이 좀 걸어 다녀야 되잖아요.
잘 때도 다리를 얹었다가 이랬다 저랬다 하고 그러다가 잘못해서 쥐가 나면 발가락이 이렇게 돼요. 자다가 꿈틀거리면 쥐가 나고 다리가 벌레 기어가듯 솜솜솜솜 해서 발가락이 이렇게 돼요. 그러니까 그게 알통이 배기고.
누워 있어도 허리가 아팠죠. 앉아도 그렇고. 앉았다 일어나도 골반 쪽이 뜨끔했어요. 허리 아픈 건 오래됐어요. 정형외과에서 물리치료 하고 신경주사 맞고 또 세 번 맞고. 근데 주사 맞아도 또 아파요. 선생님이 주사효과가 없으니 시술을 하면 어떻겠냐고 묻더라고요. 수술하자고도 했죠. 병원을 가니까 MRI만 찍어보고 바로 수술하라고 하더라고요. 수술한 사람들 얘기 들어보니까 다 아프대요. 수술 해도 아프고 안 아프다는 사람 별로 없더라고요. 그리고 허리가 이렇게 쭉 있는데 이 2개만 아프면 그거만 수술한대요. 그럼 수술 부위 위쪽이 또 아프다는 거예요. 그 말이 맞아요. 그리고 아는 사람이 수술했는데 또 아프다고 하더라고요.
동생한테 “아이고 나 이러다가 못 걸으면 어떡하냐” 했더니 언니야 내 동창 친구가 모커리에 와서 침을 맞았는데 좋아졌대요. 동생 친구가 치료받고 좋아져서 소개 받고 왔어요. 그래서 동생하고 같이 와서 면담을 하고 입원을 했어요.
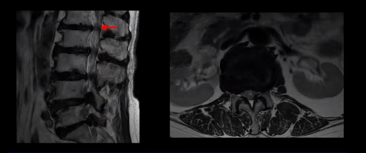
이 환자분은 MRI로 보면 허리 여러 마디가 신경이 매우 심하게 눌려 보이는 분입니다. 이분 MRI를 보면서 간단히 설명해 드린 후 어떻게 이렇게 신경이 심하게 눌린 환자분이 수술 없이 근육신경재활치료로 좋아질 수 있는지, 다리가 아파 걷지 못하는 환자가 어떻게 안 아프고 잘 걸을 수 있게 되는지, 10년 동안 괴로웠던 양 발의 시린 증상은 어떻게 사라질 수 있는지, 치료는 어떻게 하는지 자세히 설명 드리겠습니다.
MRI 보시면 (2-8) 허리의 5마디가 전부 다 심하게 퇴행되어 있습니다.

5마디 전부 다 심한 중심성 협착이 있습니다.
1번 2번,

2번 3번,

3번 4번,

4번 5번,

5번 6번

이렇게 모두 다 심하게 막히는 경우는 드문데요. 또한 오른쪽, 왼쪽 신경이 빠져나가는 추간공도 다 심하게 막혀있습니다.

오른쪽, 왼쪽 이렇게 신경 구멍들이 다 좁아지고 신경이 눌리니까 양쪽 다리가 발바닥까지 아파서 걷기 어렵고 양쪽 발이 10년 넘게 시린 겁니다. 당연히 수술해서 눌린 신경을 풀어줘야 한다고 들으셨는데요. 이런 환자분을 어떻게 수술 없이 치료할까요? 지금부터 설명해 드립니다.
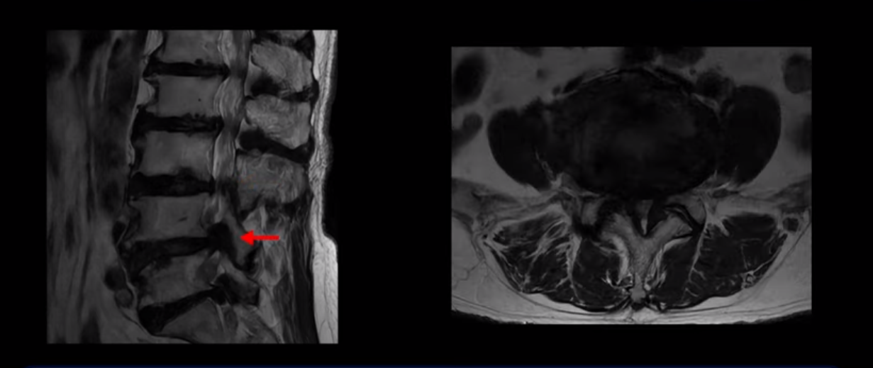
이분 신경이 눌리는 증상은 오래됐지만, 증상이 아주 심해진 건 올해 들어와서입니다. 그럼, 이분 MRI 영상도 이렇게 심하게 안 좋아진 게 올해 들어와서일까요? 이분의 MRI로 보이는 협착은 아주 오래된 겁니다. 그래서 신경 구멍이 심하게 좁아진 것도 올해가 아니고 오래된 겁니다. 작년, 재작년에 훨씬 덜 아팠을 때 MRI를 찍었어도 신경 구멍 좁은 정도는 별반 차이가 없었을 겁니다.
실제로 수많은 논문에서 70세 이후 MRI로 협착이 보여도 아프지 않은 무증상 협착이 많다고 설명합니다. 협착이 있어도 안 아픈 사람들이 많다는데, 이게 왜 그럴까요? 근육 기능이 정상적이고 좋은 사람들은 근육이 허리를 잘 지지해 주니까 협착이 있어도 신경이 덜 눌리거나 안 눌리는 겁니다. 즉 근육이 좋으면 신경이 덜 눌리고 근육이 좋아지면 협착증이 좋아지는 겁니다. 그래서 저희가 근육 재활치료를 통해 근육의 기능을 회복시키면서 동시에 신경의 기능을 회복시키는 치료를 하는 겁니다. 이런 분들이 근육 재활치료를 통해서 협착증 증상이 좋아진다면 이런 분들의 협착증도 아프지 않은 무증상 협착으로 바뀌게 되는 겁니다.
저희는 이런 사실을 널리 알리기 위해 매주 이렇게 치료 후기 영상도 찍어서 올리고, 세계적으로 유명한 미국의 대학병원과 공동연구를 통해 근육신경재활치료의 효과를 해외 저널에 논문으로 발표도 하고 있습니다. 그럼 이런 근육신경재활치료는 어떻게 할까요?
저희 모커리는 협착증 환자의 약해지고 뭉치고 뒤틀린 근육을 좋게 만들기 위해 한방, 양방을 통틀어 근육에 관련된 할 수 있는 거의 모든 치료를 다 합니다. 침, 약침, 봉침, 이완추나, 근육의 피로를 풀어주는 한약, 도수치료, 물리치료, 운동치료까지 여러분이 일상적으로 많이 받고 계신 치료가 대부분 다 근육을 치료하는 겁니다.
그런데 협착증이라는 건 길게는 10년, 20년, 30년 이렇게 오랜 기간 근육이 줄어들고 약해지고 문제가 생기면서 발생하는 것이기 때문에 근육 치료를 간단하게 몇 번 받는다고 해서 이런 오래된 근육 문제가 바로 해결되는 것이 쉽지 않습니다. 또 이분처럼 걷기도 어렵고 앉아도 아픈데 집에서 왔다 갔다 하면서 통원 치료 받으면 좋아지기가 쉽지 않습니다. 게다가 치료받고 또 집에 가서 쉬지 않고 일까지 하고 있으면 호전되는 게 그만큼 어려워집니다.
그래서 저희는 환자의 모든 일상생활을 중단하고 입원시켜 놓고 하루에도 4번 이상 허리 주변 근육을 치료하고 쉬고 치료하고 쉬고 치료하고 쉬고를 2주~4주 정도 반복합니다. 이런 집중적이고 반복적인 협착증 근육신경재활치료를 우리는 모커리 ABCDE 협착증 치료법이라고 부릅니다. 이런 집중된 반복치료를 통해 근육 상태가 좀 좋아지면 운동도 시작하게 됩니다. 그런데 운동도 무리한 근력 운동은 오히려 증상을 더 악화시키기 때문에 가벼운 운동이지만 근육의 기능을 살려주는 운동인 누워서 하는 운동과 실내 걷기운동 등을 주로 하셔야 합니다. 이 운동에 대해 관심 있는 분들은 아래 영상을 보시길 바랍니다.
이렇게 입원해서 치료하고 쉬고 운동하고, 치료하고 쉬고 운동하고를 매일매일 2주~4주 정도 계속 반복해서 근육 상태가 좋아지면, 허리를 더 잘 지탱해 주니까 신경이 덜 눌리게 되고 협착증 증상이 훨씬 더 좋아지게 됩니다. 이분은 3주 입원 치료를 받으셨습니다. 그럼, 이분의 3주 간의 근육신경재활치료 결과는 어떻게 됐을까요? 10년 동안 발이 시렸던 게 좋아졌을까요? 다리가 아파 걷지 못했는데 안 아프게 잘 걸을 수 있게 되었을까요?
근육신경재활치료의 장점은 허리가 재활을 통해 더 튼튼해지고 건강해지는 겁니다. 허리에 손상을 주는 수술과는 달리 근육신경재활치료는 허리에 어떠한 형태로든 손상이 없고 반대로 더 튼튼해지는 겁니다. 그게 정말 큰 장점인 겁니다. 이분의 치료 후 결과가 궁금하시다면 아래 영상을 꼭 보시길 바랍니다.
모커리 척추관협착증 ABCDE 한·양방 협진 재활치료법은 수술 없이 협착증을 치료하는 모커리 고유의 비수술 치료방법입니다. 한쪽 다리의 통증만 있는 초기 협착증부터 다리에 힘이 빠지고 몇 걸음 걷지 못하는 말기 협착증까지 ABCDE 척추관협착증 비수술 치료법으로 치료하고 있습니다. 모커리는 수준 높은 임상연구를 통하여 말기 협착증 환자가 ABCDE 재활치료로 통증 없이 걷는 거리가 11배 증가했다는 것을 과학적으로 객관적으로 증명하여 국제학술지에 논문을 발표했습니다.
